Kenmerken van een AVM
Je kunt merken dat je een AVM hebt door klachten zoals:
- een hersenbloeding
- een epileptische aanval
- tijdelijk moeite met praten
- tijdelijke verlamming van lichaamsdelen
Diagnose van een AVM
Heb je last van klachten die bij een AVM horen? Dan zal er vaak eerst een CT-scan (Computer Tomografie) worden gemaakt. Zo kan de arts zien of er een bloeding in de hersenen is geweest. Als de arts dan denkt dat je misschien een AVM hebt, wordt er meer onderzoek gedaan.
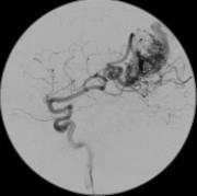
Dat kan met een MRI-scan (Magnetic Resonance Imaging), maar de beste manier om een AVM te ontdekken is een angiografie. Dit is een soort röntgenfoto, maar dan voor je aders. Die zijn op een gewone röntgenfoto niet te zien. Bij een angiografie wordt er een speciale vloeistof in je aders gespoten, waardoor deze wel zichtbaar worden. Dat gebeurt via een katheter, een slangetje dat via de lies of arm wordt ingebracht.
Oorzaken van een AVM
Artsen weten nog niet precies waardoor je een AVM krijgt. Het lijkt erop dat je hier voor je geboorte al een aanleg voor hebt. De AVM ontwikkelt zich tijdens je leven. Je kunt dus op elke leeftijd klachten krijgen.
Een AVM is meestal niet erfelijk, maar komt wel voor bij andere erfelijke aandoeningen. Voorbeelden hiervan zijn het syndroom van Klippel-Trenaunay, de ziekte van Rendu-Osler-Weber en de ziekte van Von Hippel-Lindau.
Behandeling van een AVM
De behandeling van een AVM in de hersenen verschilt per persoon. Soms heb je geen last van klachten. Het is dan beter om de AVM niet te behandelen. Wanneer dat wel nodig is, zijn er verschillende behandelingen mogelijk:
- Operatie: De misvormde bloedvaten worden verwijderd via een luikje in de schedel. Hierbij bestaat het risico dat andere delen van de hersenen beschadigd raken.
- Embolisatie: De misvormde bloedvaten worden dichtgeplakt. Via je lies wordt een slangetje ingebracht, helemaal tot aan de AVM in de hersenen. Er is een kans dat de AVM niet helemaal wordt dichtgeplakt.
- Bestraling: De misvormde bloedvaten worden bestraald met dunne bundels röntgenstralen. Na meerdere behandelingen kan zo de AVM afgesloten worden. Het duurt een paar jaar voordat de behandeling helemaal klaar is. Er is ook kans dat de AVM niet helemaal dichtgaat.
Soms kan het nodig zijn om verschillende behandelingen te combineren. Als een AVM niet helemaal behandeld of weg is, blijft er een kans op een bloeding bestaan. Een grote AVM kan met een embolisatie bijvoorbeeld kleiner worden gemaakt. Daarna kan deze met een operatie weggehaald worden.
Als je door de AVM een beroerte hebt gehad, kan er daarna nog meer behandeling nodig zijn. De behandeling is dan bedoeld om te herstellen van de schade die de beroerte heeft veroorzaakt. Zo kun je soms revalidatie nodig hebben om sommige bewegingen en handelingen weer te kunnen doen.
Gevolgen van een AVM
Niet iedereen heeft evenveel last van een AVM. Soms kun je dus een AVM hebben zonder dat er gevolgen zijn. Als je door de AVM een hersenbloeding krijgt, kunnen de gevolgen ernstiger zijn en langer duren.
-
Thuis
Verlamming en problemen met zien maken het moeilijker om voor jezelf te zorgen. Doordat je minder goed kunt zien, kan je bijvoorbeeld ook problemen krijgen met zien. Huishoudelijke taken kunnen meer moeite kosten dan vroeger.
-
Werk en school
De verschillende lichamelijke en mentale klachten kunnen voor problemen op school of werk zorgen. Als je door de bloeding last hebt van verlammingsverschijnselen, kun je jezelf bijvoorbeeld niet of moeilijk naar werk of school reizen.
-
Vrije tijd
Bij iemand op bezoek gaan, sporten of een leuk uitje: deze dingen kunnen allemaal meer moeite kosten. Dat hangt wel af van hoe erg je klachten zijn. Doordat je soms minder goed ziet, kan deelnemen aan het verkeer gevaarlijk zijn.
-
Sociale contacten
Soms voel je je verdrietig en heb je geen zin om andere mensen te zien. Sommige mensen krijgen last van een depressie. Het kan ook moeilijker zijn om te begrijpen wat iemand anders bedoelt.
Verlamming en problemen met zien maken het moeilijker om voor jezelf te zorgen. Doordat je minder goed kunt zien, kan je bijvoorbeeld ook problemen krijgen met zien. Huishoudelijke taken kunnen meer moeite kosten dan vroeger.
De verschillende lichamelijke en mentale klachten kunnen voor problemen op school of werk zorgen. Als je door de bloeding last hebt van verlammingsverschijnselen, kun je jezelf bijvoorbeeld niet of moeilijk naar werk of school reizen.
Bij iemand op bezoek gaan, sporten of een leuk uitje: deze dingen kunnen allemaal meer moeite kosten. Dat hangt wel af van hoe erg je klachten zijn. Doordat je soms minder goed ziet, kan deelnemen aan het verkeer gevaarlijk zijn.
Soms voel je je verdrietig en heb je geen zin om andere mensen te zien. Sommige mensen krijgen last van een depressie. Het kan ook moeilijker zijn om te begrijpen wat iemand anders bedoelt.
De Hersenstichting heeft bij het opstellen van deze tekst dankbaar gebruik gemaakt van adviezen van:
- Dr. Jeroen Boogaarts, neurochirurg, Radboudumc te Nijmegen